Lekarze wykonali prześwietlenie i zamarli
Rodzice pięciomiesięcznej dziewczynki przeżyli momenty grozy. Opiekowali się swoją małą córeczką, gdy zauważyli, że nagle zaczęła niepokojąco drżeć i tracić przytomność. Wydawało im się, że niemowlę ma drgawki i natychmiast udali się do szpitala. Nie mieli pojęcia, co mogło spowodować takie objawy u zdrowego do tej pory malucha.
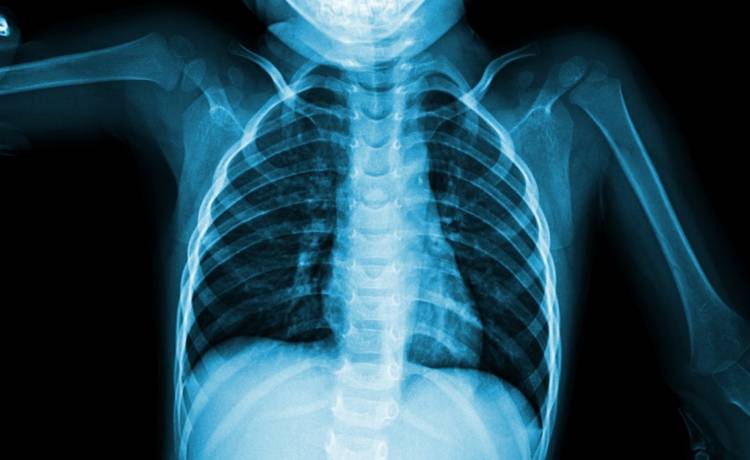
Gdy dotarli do placówki leczniczej, niemowlę było w ciężkim stanie. Jak informuje brytyjski portal The Mirror, lekarze natychmiast rozpoczęli przeprowadzanie niezbędnych badań. Jednym z nich było zdjęcie rentgenowskie klatki piersiowej dziecka. To, co specjaliści zobaczyli na kliszy, bardzo ich zdziwiło i przeraziło. Ze zdumieniem odkryli, że w serce dziewczynki wbiła się czterocentymetrowa igła do haftowania.
Igła przebiła serce niemowlęcia
Według komunikatu wydanego przez rzecznika Szpitala Dziecięcego Xi'an w prowincji Shaanxi w Chinach igła przeszła przez ścianę żołądka dziecka i przebiła lewą komorę serca. Lekarze zadecydowali o pilnej operacji. Dzięki chirurgicznej interwencji udało się sprawnie usunąć niebezpieczne ciało obce z organizmu niemowlęcia. Jak informują brytyjskie media, dziewczynkę zabrano na oddział intensywnej terapii w celu monitorowania i dalszego leczenia.
Rodzice dziecka powiedzieli w rozmowie cytowanej przez portal The Mirror, że nie mają pojęcia, w jaki sposób igła znalazła się w ciele ich córki. Najprawdopodobniej niemowlę musiało włożyć ją do ust i połknąć. Choć lekarze oceniają operację jako udaną, nie są w stanie określić jeszcze, jak długo mała pacjentka będzie musiała pozostać w szpitalu, nim wróci do domu. To, że dziecko przeżyło, rodzice uważają za cud.






